肝脏铁过载的影像学表现:带您了解“白肝”与“黑肝”
2026-03-31 09:31宣传统战科
您是否知道,人体内一种至关重要的微量元素,一旦过量,反而会成为“甜蜜的负担”?这种元素就是铁,它虽默默参与着氧的运输与能量代谢,但若因摄入过多或代谢失衡,过剩的铁便可能在肝脏、心脏等器官悄然沉积,引发肝脏铁过载(铁沉积)。作为核心的储铁器官,肝脏往往最先受累,而早期变化常难以察觉。如何尽早发现这些隐匿的“铁迹”?影像学检查提供了关键线索——CT上异常“发白”的肝脏,或是磁共振成像(Magnetic Resonance Imaging,MRI)中显著“变黑”的肝脏,是最具特征性的表现。
一、CT上的“白肝”:高密度改变的提示
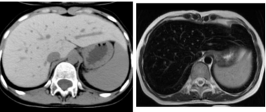
CT成像依赖X线的组织衰减差异,铁的原子序数远高于肝脏实质细胞,对X线的吸收能力更强,因此当肝脏内铁含量显著升高时,会表现为肝脏密度弥漫性增高,在CT图像上比正常肝脏更“亮”,被称为“白肝”。
正常肝脏的CT值通常在50-70HU之间,而铁过载时肝脏CT值可升高至80HU以上,重度铁过载甚至可达100HU以上,明显高于脾脏(正常脾脏CT值约40-50HU),形成“肝脾密度倒置”的特征性表现。这种高密度改变呈弥漫性分布,累及整个肝脏,不会出现局灶性低密度区,可与脂肪肝(肝脏CT值降低)、肝硬化(结节样密度不均)等疾病鉴别。
不过CT对轻度肝脏铁过载的敏感性较低,只有当铁沉积达到一定程度时才会出现明显的密度升高,且CT值易受对比剂、肥胖、肝硬化等因素干扰,因此更适合作为重度铁过载的筛查手段。
二、MRI上的“黑肝”:顺磁性物质的信号改变
MRI对铁过载的敏感性远高于CT,其核心机制在于铁的顺磁性特性。过量的铁离子会缩短肝脏组织的T2弛豫时间,导致在T2加权像(T2WI)上信号显著降低,肝脏表现为弥漫性“发黑”,即“MRI黑肝”。
在不同MRI序列中,铁过载的表现存在差异:T1加权像(T1WI)上肝脏信号变化通常不明显,难以发现轻度铁过载;而T2WI尤其是脂肪抑制序列,肝脏信号降低的特征最为突出,轻度铁过载即可表现为信号轻度变暗,重度铁过载时肝脏信号甚至接近无信号的骨骼或气体。此外,T2*WI对铁的敏感性更高,能检测出极少量的铁沉积,是目前诊断早期肝脏铁过载的首选序列。
与CT不同,MRI不仅能定性诊断铁过载,还能通过定量分析技术(如R2* mapping)准确测量肝脏铁含量,为病情评估和治疗监测提供客观依据,尤其适用于遗传性血色病、长期输血患者等高危人群的定期随访。

图片说明:肝脏铁过载患者,CT(左图)肝脏密度弥漫增高(白肝),MRI(右图)T2WI肝脏信号弥漫减低(黑肝)
三、影像学表现的临床意义
无论是CT“白肝”还是MRI“黑肝”,都提示肝脏存在铁沉积,此时需进一步结合临床病史(如长期输血史、遗传性血色病家族史)、血清铁蛋白、转铁蛋白饱和度等实验室检查明确病因。早期诊断和干预能够有效阻止铁过载对肝脏的持续损伤,避免肝硬化、肝癌、肝功能衰竭等严重并发症的发生。
需要注意的是,影像学表现仅反映肝脏铁沉积的状态,不能直接区分遗传性和继发性铁过载,因此需结合临床信息综合判断。同时,部分疾病(如肝血色病合并肝硬化)可能同时存在铁沉积和结节性病变,需通过增强CT或MRI进一步鉴别病变性质。
总之,CT“白肝”和MRI“黑肝 ”是肝脏铁过载的典型影像学标识,两者各有优势,联合应用能够实现对肝脏铁过载的早发现、早诊断和精准评估。对于存在铁过载高危因素的人群,定期进行影像学检查,是保护肝脏健康的重要措施。
撰稿人:董爱平
2026年3月31日
