妙手施治 重获新生—— 一位冠脉血管100%闭塞患者在我院成功手术
2019-06-11 17:21
据了解,该患者今年四月因急性心梗在我院进行急诊PCI治疗,于RCA顺利放置支架3枚,术中冠脉造影检查提示前降支(LAD)开口起100%慢性闭塞。这种情况不处理,患者心功能势必受到影响,并有猝死风险。
6月6日,北京首都医科大学附属北京安贞医院及我院复杂冠脉病变治疗中心主任赵林教授与我院手术团队认真仔细研究了该患者的病史及影像资料,发现他的前降支开口齐头闭塞、闭塞段长度大于20mm、严重钙化、病变开口成角大,J-CTO评分为4分,这种病变开通难度大、开通成功率极低。
面对困难,赵林教授知难而上、勇于挑战。他首先尝试在IVUS指导下寻找正向开口,在IVUS无法提供支持的情况下,果断改用在微导管支持下逐渐升级导丝寻求正向突破。由于前降支开口成角大,近段纤维帽致密,反复调试导丝都未能突破。赵林教授凭借丰富的经验,逐渐升级导丝硬度再次反复尝试突破病变。锲而不舍、金石可镂,ConquestPro导丝最终在一瞬间突破病变,送至远端血管真腔,在助手及导管室工作人员的全力配合下,顺利开通病变。手术成功完成,术后患者无不适及并发症发生。

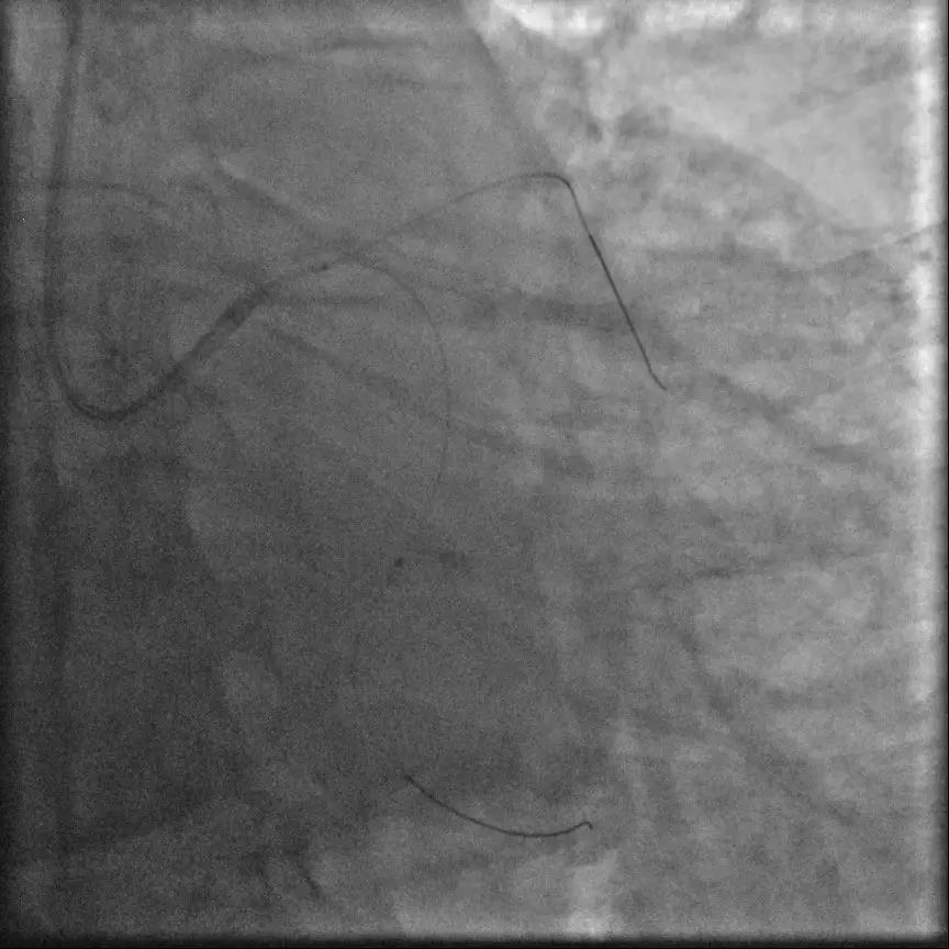
术前
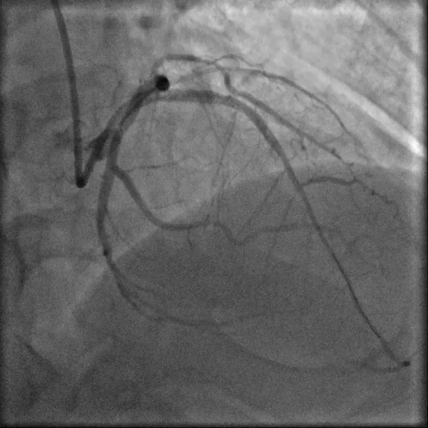
术中
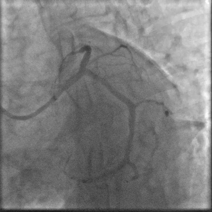
术后
术后
术中 赵林主任和我院心内科介入团队
科室介绍
山东中医药大学第二附属医院心血管病科为国家中医药管理局“十一五” 中西医结合临床重点学科建设单位、“十二五”重点专科建设单位;山东中西医结合学会介人心脏病专业委员会主委单位、济南市脑心同治专业委员会主委单位;国家心力衰竭医联体成员单位、国家心血管病中心高血压专病医联体成员单位,山东中医药大学复杂冠脉病变治疗中心,上海交大房颤诊治中心山东分中心。
目前科室有三个病区,医疗组主任医师9名、副主任医师11名,博士后2名、博士7名,具有很强的临床、教学、科研能力,对冠心病、高血压、心衰、心律失常、心肌病有丰富的中西医结合诊疗经验。
我科自1996年开展心脏介入治疗,作为省内较早进行冠脉介入治疗的单位之一,心脏中心拥有一支反应迅速,技术过硬的冠脉介入队伍,包括无保护左主干病变、慢性完全闭塞病变、钙化迂曲病变等复杂疑难病变的治疗。随着时代发展,中心借助血管内超声、冠脉旋磨术等新技术用于复杂病变治疗,使手术方案更加优化,术后再狭窄,支架内血栓发生率大幅降低。
山东中医药大学复杂冠心病介入中心于2019年,4月1日成立,聘请北京安贞医院赵林教授为中心主任及首席专家,对焦我省复杂冠心病介入治疗。随着复杂冠心病介入中心的成立,将为每一位冠心病患者提供更规范、更科学、更高效的治疗,目标是成为山东省冠心病治疗的技术标杆,为更多的冠心病患者带来福音。
专家介绍

赵林教授
医学博士、主任医师,现就职于北京首都医科大学附属北京安贞医院,每年完成PCI约400余例,其中包括各种复杂冠心病的介入治疗;协助国内上百家医院进行心内科复杂介入治疗的帮扶和支持。熟练掌握血管内超声、光学相干成像和血流储备分数等技术的使用。2013年3月份开始使用二代OCT指导PCI治疗,有近300例OCT的使用经验;2013年9月份开始进行逆向介入治疗CTO,已完成逆向介入治疗500余例;2014年开始使用旋磨优化冠脉介入治疗,已经完成旋磨治疗300余例。已经完成CTO病变ADR治疗50余例,国内排名第二,获得ADR独立术者全球资质,Hybrid介入治疗CTO全球带教资质。2016年获得卫生部介入导师资格,带教5名。协助培养研究生10名,培养进修医师12名。多次参加介入会议的病例报告和研究汇报。
工作至今已完成冠状动脉造影19000余例,冠心病介入治疗10000余例,其中包括急诊PCI1000余例,复杂冠心病介入治疗3000余例,逆向介入治疗500余例,,旋磨治疗300余例,ADR治疗50余例。熟练掌握各种优化冠状动脉介入治疗的技术,OCT/FFR/IVUS,旋磨治疗,辅助装置(IABP和ECOMORE)支持下的复杂介入治疗等。
2019年6月11日