无形的创伤:揭秘“弥漫性轴索损伤”,为何CT有时也会“说谎”?
2025-09-22 19:13放射科
您是否听说过这样的情况:一场严重的车祸后,伤者被紧急送医,头部CT检查却显示“未见明显异常”或“只有一点点脑挫伤”。但随后,伤者却陷入了深度昏迷,病情急转直下。这并非医生误诊,也非仪器失灵,很可能是一种致命的“隐形”脑损伤——弥漫性轴索损伤(Diffuse Axonal Injury, DAI)在作祟。作为影像科医生,今天我们就来揭开这个“无形杀手”的神秘面纱。
一、 什么是弥漫性轴索损伤?一个“豆腐脑”的比喻
想象一下我们的大脑是一块无比精密的“豆腐脑”,里面遍布着无数像电线一样的神经纤维(轴索),它们负责传递信息,指挥我们的一切活动、思想和感觉。
当头部遭受突然的加速、减速或旋转暴力时(比如车祸、高空坠落、剧烈摇晃),由于大脑各部分的重量和密度不同,它们会在颅腔内产生不同步的运动和扭曲。
这就好比用力晃动一碗豆腐脑,豆腐脑本身看起来还是完整的,但内部无数纤细的“丝络”已经被生生扯断、拉伤了。弥漫性轴索损伤的本质,就是大脑白质神经纤维的广泛性撕裂和损伤。
二、 为什么DAI如此危险和隐匿?
损伤范围广:“弥漫性”意味着损伤遍布大脑多个区域,尤其是连接不同脑区的“信息高速公路”(如胼胝体、脑干、大脑半球白质)。这会导致大脑网络通信全面瘫痪。
原发性损伤:这种损伤在受伤瞬间就已发生,是不可逆的。
昏迷的元凶:DAI是导致创伤后长期昏迷和严重神经功能障碍的最主要原因。伤者通常立即昏迷,且昏迷程度深、时间长。
常规CT难以发现:被扯断的神经纤维非常微小,早期的CT扫描往往无法直接显示。CT主要能看是否有出血、骨折,而对于非出血性的轴索撕裂,CT就显得“力不从心”了。
三、 影像科如何“火眼金睛”识破DAI?
既然CT可能会“漏网”,那我们靠什么来诊断呢?答案是——磁共振(MRI)。MRI对软组织的分辨能力远超CT,是诊断DAI的“金标准”。
1. CT检查——第一道“筛查”
作用: 快速排除急需手术的颅内血肿、骨折等危急情况。
可能看到的“蛛丝马迹”:
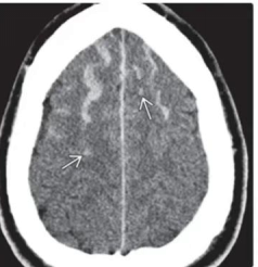
大脑灰白质交界处、胼胝体、脑干等好发部位出现微小的点状出血(<1-2毫米)。
图片说明:男,26Y,外伤后,皮质下多发出血灶(白色箭头所示),蛛网膜下腔出血
脑组织弥漫性肿胀(脑室、脑池受压变窄)。
重要提示:即使CT报告“未见异常”,只要患者伤后昏迷,高度怀疑DAI,就必须进行MRI检查。
2. MRI——确诊的“利器”
MRI通过不同的序列,像用不同的“滤镜”观察大脑,让DAI无处遁形:
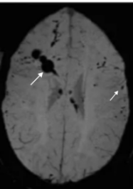
磁敏感加权成像(SWI): 这是最敏感的序列!它能把微小的出血点放大显示为一片片黑色的“墨点”,清晰揭示损伤的范围和严重程度。
图片说明:男,37Y,SWI可见脑内多发点片状低信号(白色箭头所示)。
T2FLAIR(水抑制成像): 能够显示轴索损伤后伴随的水肿,表现为一片片白色的高信号。
弥散加权成像(DWI): 能在损伤极早期就检测出神经细胞水肿,显示为高信号,非常敏感。
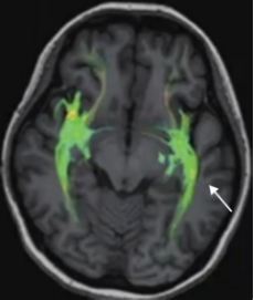
弥散张量成像(DTI): 这是更前沿的技术。它能直观地显示神经纤维束的走向和完整性。DAI患者的纤维束会出现中断、稀疏、走形紊乱,就像高速公路被多处截断。
图片说明:女,26Y,DTI示左侧丘脑、脑干区白质纤维束明显减少(白色箭头所示)。
四、 总结与提醒
DAI是一种严重且隐匿的脑损伤,是创伤后昏迷的重要原因。早期CT正常不代表没事! 绝不能因CT“未见异常”而掉以轻心。
MRI,尤其是SWI序列,是诊断和评估DAI的关键。 对于严重外伤后意识障碍的患者,应及时进行MRI检查。
预后:DAI的预后与损伤部位和范围密切相关。大部分患者会留下不同程度的后遗症(如认知障碍、运动障碍、情绪性格改变等),需要长期的康复治疗。
理解弥漫性轴索损伤,有助于患者家属更科学地认识病情,建立合理的预期,并与医生并肩作战,积极配合治疗与康复。生命无比精密,也无比脆弱,现代影像学正是我们守护它的一双“慧眼”。
撰稿人:董爱平
