医院新闻
-
畅讲中西医 康复残疾人——我院承办济南市第八届残疾人精准康复服务暨家庭医生技术骨干培训班
2019-06-24 -
“三战三胜、扬我院威”-我院篮球队参加省卫生健康系统篮球比赛取得开门红
2019-06-24 -
医院组织2019年第六次党委理论中心组学习
2019-06-20 -
我院社区党支部联合二七铁一居党支部开展主题党日活动
2019-06-19 -
我院参加“健康山东 美好生活”长清五峰山大型义诊活动
2019-06-14 -
党委书记王永志到机关第一党支部所辖科室信息中心调研
2019-06-14 -
我院开展重点科室医院感染风险专项排查督导工作
2019-06-13 -
市卫健委对我院卫生城市复审工作进行督导检查
2019-06-12 -
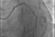
妙手施治 重获新生—— 一位冠脉血管100%闭塞患者在我院成功手术
2019-06-11 -
我院参加“2019年全国老年健康宣传周活动”启动仪式
2019-06-11